In a paper published in the Cell Press journal Cell Reports, researchers document “selfish polysaccharide uptake” in freshwater ecosystems for the first time. In Croatia’s Kozjak and Crniševo Lakes, they found that nutrient hoarding allows selfish species to dominate over others, which could shape a lake’s food web - and these dynamics will likely shift due to climate change, especially in cold lakes.
“Bacteria play a crucial role in nutrient cycling in lakes by degrading polysaccharides, and their ability to selfishly consume these compounds influences the availability of carbon and other nutrients in the ecosystem,” says first author Andrea Čačković of the Ruder Bošković Institute.
To explore the role of selfish microorganisms in freshwater systems, the researchers compared two different lakes in Croatia: the northerly Kozjak Lake, the largest and deepest lake in Plitvice Lakes National Park, and the more southerly Crniševo Lake. Whereas Kozjak Lake is oligotrophic (i.e., has low levels of nutrients and algae) and freezes over in the winter, Crniševo Lake is in a Mediterranean climate and is mesotrophic (i.e., has higher levels of nutrients and algae).
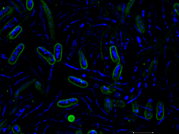
The team collected water samples in the spring and summer of 2022 and the winter of 2023 and quantified the bacteria in each lake during the different seasons. In the lab, the researchers incubated the bacteria with six different fluorescently labeled polysaccharides that allowed them to see whether bacteria selfishly internalized the molecules or digested them externally and whether any specific polysaccharides were preferentially degraded using the selfish mechanism. They also used genetic sequencing to compare the lakes’ bacterial communities during different seasons and to identify bacterial species that used the selfish uptake mechanism.
They showed that selfish bacteria were present in both lakes, but the amount of selfish activity varied seasonally. Overall, the mesotrophic Crniševo Lake showed a greater abundance of bacteria, a more diverse bacterial community, and higher rates of selfish nutrient uptake than the oligotrophic lake.
“It’s fascinating that this mechanism, which we didn’t even know existed before 2017, is also used in freshwater systems,” says senior author and microbial ecologist Greta Reintjes of the University of Bremen.
The team was surprised to find that in the mesotrophic lake, selfish activity spiked following a phytoplankton bloom during the summer when nutrients were abundant. This was not the case for the oligotrophic Kozjak Lake, where selfish activity peaked during the nutrient-scarce winter, similar to what has been observed in marine ecosystems.
“In Crniševo Lake, when there was higher material present, there was more selfish activity, which was completely unexpected,” says Reintjes. “We can’t explain this ecologically yet – we need to do more research to understand who are these specific organisms that are behaving differently, and why.”
The team also found that certain polysaccharides were more likely to be digested selfishly than others. For both lakes, the most commonly hoarded polysaccharide was pullulan – a sugar that is produced by fungi. Pullulan was digested selfishly up to 12% of the time in the oligotrophic lake and up to 7% of the time in the mesotrophic lake.
“One of the most unexpected discoveries was that bacteria do not degrade all polysaccharides equally,” says Čačković. “Instead, they appear to be selective, which may shape microbial community composition and influence the lake’s food web.”
These dynamics could be impacted by climate change, especially in cold lakes like Kozjak Lake. “When the lake freezes over in winter, it’s like a reset of the system, and that’s something that could be changed in the future because with climate change, these freezing moments are becoming less frequent than they were in the past,” says coauthor and microbiologist Sandi Orlić of the Ruđer Bošković Institute in Croatia. “Understanding how sugars are degraded by different bacteria will help us understand the global picture of sugar and carbon cycling and how this will be impacted by climate change.”
In the future, the researchers plan to use genomic methods to explore which genes and enzymes are behind the bacteria’s selfish mechanism. They also plan to search for selfish bacteria in other types of ecosystems.
“I can't wait to test more systems and see if these selfish bacteria are absolutely everywhere,” says Reintjes. “In the end, I would like to have a complete understanding of how important selfish organisms are globally for carbon turnover.”
This research was supported by funding from DAAD research grants, the FEMS Research and Training Grant, the German Research Foundation, and the Croatian Science Foundation.
Further Information:
Cell Reports, Čačković et al., “Selective heterotopic bacteria can selfishly process polysaccharides in freshwater lakes.” https://www.cell.com/cell-reports/fulltext/S2211-1247(25)00186-X
DOI: 10.1016/j.celrep.2025.115415
Cell Reports (@CellReports), published by Cell Press, is a weekly open-access journal that publishes high-quality papers across the entire life sciences spectrum. The journal features reports, articles, and resources that provide new biological insights, are thought-provoking, and/or are examples of cutting-edge research. Visit http://www.cell.com/cell-reports.
Contact:
Dr. Greta Reintjes
Emmy Noether Research Group
Microbial-Carbohydrate Interactions Group
Faculty of Biology/Chemistry
University of Bremen
Telephone: +49 421 2028-9710
Email: reintjesprotect me ?!uni-bremenprotect me ?!.de

![[Translate to English:] [Translate to English:]](/fileadmin/_processed_/7/9/csm_FLAPS_bacteria_5a8c8c0521.jpg)