SPAplus - Small Data Probleme in der digitalen Pathologie und programmbegleitende Maßnahmen

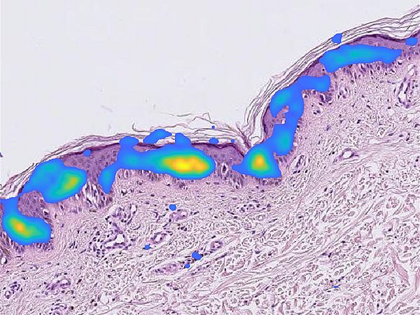
Visualisierung von KI-Ergebnissen zur Krebserkennung

Bearbeiter*innen: Lena Hauberg-Lotte, José Carlos Gutiérrez Pérez
Projektförderung: Bundesministerium für Bildung und Forschung (BMBF), Förderschwerpunkt Mathematik für Innovationen
Projektträger: DESY
Partner: Jörg Lücke, Carl von Ossietzky Universität Oldenburg, Michael Möller, Universität Siegen; Dennis Trede, Bruker Daltonik GmbH, Bremen; Boris Krostitz, Deutsche Bahn AG, Frankfurt; Jörg Kriegsmann, Proteopath GmbH, Trier
Laufzeit: 01.04.2020 - 31.03.2023

Industrie und Wirtschaft nennen branchenübergreifend im Zusammenhang mit Big Data Anwendungen und maschinellem Lernen (ML) zwei Problemfelder: Zum einen wird das Fehlen hinreichend vieler und vor allem gut ausgebildeter Datenanalystinnen und -analysten betont, und zum anderen sind bei technischen Anwendungen meist nicht genügend Daten vorhanden, um zum Beispiel große neuronale Netze (NN) über Deep Learning (DL) Ansätze stabil zu trainieren.

Dieses Projekt zielt daher auf die Bearbeitung eines derartigen prototypischen Problems der digitalen Pathologie sowie auf die Analyse und methodische Umsetzung von mathematisch fundierten Verfahren zur Data Augmentation über neuronale Netze/ Deep Learning. Die AG Technomathematik der Universität Bremen koordiniert dieses Verbundprojekt und ist auf der wissenschaftlichen Seiter mit dem Teilprojekt Invertierbare Netzwerkarchitekturen zur Data Augmentation beteiligt. Hier werden invertierbare Netzwerkarchtitekturen (i-RevNet, learned Mixup) zur Data Augmentation analysiert und zur Erweiterung der Datenbasis bei einer histopathologischen Anwendung eingesetzt.

Darüber hinaus werden die für die Programmbegleitenden Maßnahmen im Rahmen des Förderschwerpunkts Mathematik für Innovationen koordiniert. Geplant sind hier u.a. Innovation Labs und Challenge Workshops, um den Transfer der Projektergebnisse aller geförderten Verbünde in Wirtschaft, Gesellschaft und Öffentlichkeit zu beschleunigen.

Mehr Informationen zu den Programmbegleitenden Aktivitäten finden Sie hier: https://math4innovation.de