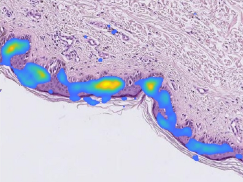
Die Mathematiker am Zentrum für Technomathematik (ZeTeM) der Universität Bremen sind den Geheimnissen der Künstlichen Intelligenz (KI) auf der Spur. Dass Deep Learning und andere KI-Verfahren bei einer Vielzahl von Anwendungen erstaunliche Ergebnisse erzielen, ist inzwischen allgemein bekannt. Aber warum funktionieren sie und wie lassen sich die Strukturen trainierter neuronaler Netze in wissenschaftlich und mathematisch formulierte Erkenntnisse zurückübersetzen? ZeTeM beschäftigt sich mit diesen Fragen und wird im Rahmen der BMBF-Fördermaßnahmen "Mathematik für Innovationen" und "Computational Life Sciences" mit 2 Mio. € von der Klaus Tschira Stiftung gefördert.
Im Frühjahr 2020 starten neue Projekte in der Technomathematik-Gruppe von Prof. Dr. Dr. hc Peter Maaß, die in Kooperation mit den Industriepartnern EWE, Siemens, Engineering System International, Deutsche Bahn, Bruker Daltonik, Proteopath, ProCon X-Ray, atacama blooms und Volkswagen Grundlagenforschung zur KI mit industrieller Anwendbarkeit verbinden. Ein zentraler Punkt der Forschung sind invertierbare Netzarchitekturen, die es erlauben, die Ergebnisse direkt in der jeweiligen Fachdisziplin zu interpretieren. Nun haben die Mitarbeiter am ZeTeM aber ein besonderes Problem: Es gibt nicht genügend qualifizierte Kandidaten für die Forschung in diesem Bereich. Mittelfristig soll die geplante Neuausrichtung des Studiengangs Technische Mathematik auf Industriemathematik und Datenanalyse helfen.


